


The patient was unhappy with the edges of her teeth and wanted a more even smile line. Composite Bondings were added to the edges of her teeth in one visit.

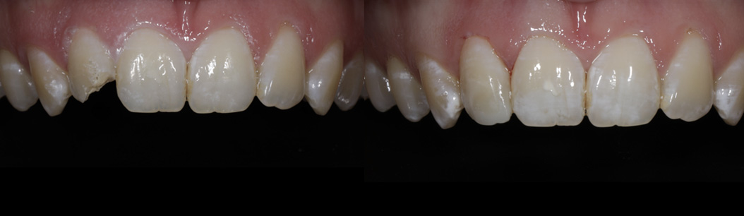
The patient chipped his lateral incisor in a scooter accident. Composite bonding was placed same day to restore the tooth.

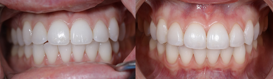
Composite Bondings on the upper front four teeth were placed to close spaces and even out this patient’s smile line.

Four porcelain veneers were placed to correct crowding, spacing and color.

The patient’s two front lateral incisors were replaced with a porcelain veneer and implant crown to balance out the patient’s smile line.

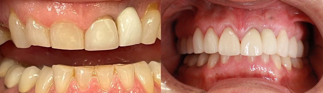
Full Mouth Rehabilitation case. A combination of porcelain veneers and crowns were used to correct bite and enhance esthetics







Jonathan Ochi DDS
I recently had a consultation with Dr. Ochi for cosmetic dental work that I’ve been wanting for some time. Dr. Ochi clearly communicated a treatment plan based on my desired outcome, and he thoroughly explained each procedure. He was extremely gentle, and efficient when I met him for my first appointment. I highly recommend Dr. Ochi for your dental needs.

Jonathan Ochi DDS
Dr. Ochi and his staff are PHENOMENAL! They take time to explain what they are seeing and showed me pictures to help me understand what is going on with my teeth and health. They are thorough, kind and I was very relaxed! Dr. Ochi showed me some examples of smile makeovers he's done and I'm excited to get my porcelain veneers started!! BEST dental office in Manhattan Beach!

Jonathan Ochi DDS
Great experience, the staff are very nice and let you know good ways to help improve your dental hygiene. Dr. Ochi is also very talented and comes across like he sincerely wants to help you in whatever way is needed!

Jonathan Ochi DDS
Dr Ochi and his staff are very friendly and attentive to their patient's needs. I really appreciate that they use the latest equipment and technology to make my visit as comfortable as possible. Thank you, Dr Ochi and staff!
